전국 저수지 댐 지도 정보
공공데이터포털 '공공데이터포털 '전국저수지및댐표준데이터', 카카오 '로그인, 지도, 블로그, 검색(이미지)', 네이버 '블로그, 검색(이미지)', Google 로그인', 카카오 '로그인, 지도, 블로그, 검색(이미지)', 네이버 '블로그, 검색(이미지)', Google 로그인 이용하여 개발되었습니다
버전 : 2 / 2025-01-06 10:38:09
횡계천
경상북도 영천시 정각리
'장골'에서 3.01km
바로가기
선원천
경상북도 영천시 삼매리
'장골'에서 3.88km
바로가기
하거천
경상북도 영천시 보현리
'장골'에서 9.43km
바로가기
삼부천
경상북도 영천시 가상리
'장골'에서 12.46km
바로가기
자호천
경상북도 영천시 도일리
'장골'에서 13.01km
바로가기
상계천
경상북도 영천시 삼포리
'장골'에서 13.56km
바로가기
의곡천
경상북도 영천시 오류리
'장골'에서 13.73km
바로가기
고촌천
경상북도 영천시 덕정리
'장골'에서 13.82km
바로가기
차당천
경상북도 영천시 삼귀리
'장골'에서 14.2km
바로가기
신녕천
경상북도 영천시 치산리
'장골'에서 15.23km
바로가기
북안천
경상북도 영천시 도천리
'장골'에서 17.34km
바로가기
봉동천
경상북도 영천시 괴연동
'장골'에서 17.6km
바로가기
삼사낚시터
경상북도 영천시 고경면 추곡길 215-12
'장골'에서 13.38km
바로가기
대물낚시터
경상북도 포항시 북구 기계면 봉좌로383번길 32-2
'장골'에서 18.67km
바로가기
평사낚시터
경상북도 경산시 진량읍 평사리 42-2
'장골'에서 24.25km
바로가기
삼괴정낚시터
경상북도 경주시 강동면 다산길 117
'장골'에서 27.85km
바로가기
인동낚시터
경상북도 경주시 강동면 인좌안길 6-1
'장골'에서 30.14km
바로가기
광지낚시터
경상북도 경주시 건천읍 천포방내길 98-9
'장골'에서 31.2km
바로가기
무태낚시터
'장골'에서 35.73km
바로가기
동산낚시터
경상북도 경주시 천북면 천강로 123-5
'장골'에서 35.86km
바로가기
천평지낚시터
경상북도 칠곡군 가산면 금화리 36외 25필지
'장골'에서 36.4km
바로가기
천평낚시터
경상북도 칠곡군 가산면 금화리 36외 25필지
'장골'에서 36.4km
바로가기
동화낚시터
대구광역시 북구 동변로 24길 106(동변동)
'장골'에서 36.4km
바로가기
비들지낚시터
대구광역시 군위군 군위읍 구지길 95
'장골'에서 36.41km
바로가기
정각마을
경상북도 영천시 화북면 정각길 16
'장골'에서 6.23km
바로가기
보현산권역정각마을
경상북도 영천시 화북면 정각길 71-39
'장골'에서 6.68km
바로가기
죽장두마마을
경상북도 포항시 북구 죽장면 면봉산길 828
'장골'에서 10.55km
바로가기
두마산촌생태마을
경상북도 포항시 북구 죽장면 면봉산길 828
'장골'에서 10.55km
바로가기
석산약바람산촌생태마을
대구광역시 군위군 삼국유사면 석산길 193
'장골'에서 13.58km
바로가기
바람이좋은화산마을
대구광역시 군위군 삼국유사면 화산산성길 65
'장골'에서 15.67km
바로가기
영천포롱마을
경상북도 영천시 금호읍 대동마을길 60
'장골'에서 17.1km
바로가기
은해로운휴양마을
경상북도 영천시 청통면 대동로 423
'장골'에서 17.92km
바로가기
기계봉좌마을
경상북도 포항시 북구 기계면 봉계길 46
'장골'에서 19.47km
바로가기
봉좌마을
경상북도 포항시 북구 기계면 봉계길 46
'장골'에서 19.47km
바로가기
세심마을
경상북도 경주시 안강읍 세심길 20-9
'장골'에서 20.59km
바로가기
옥산마을
경상북도 경주시 안강읍 중부2길 14
'장골'에서 22.02km
바로가기
보현민박
'장골'에서 3.3km
바로가기
오르다 보면
'장골'에서 5.31km
바로가기
별빛담은 호반
'장골'에서 5.38km
바로가기
강변공원펜션2
'장골'에서 6.05km
바로가기
강변공원 펜션
'장골'에서 6.07km
바로가기
인연한옥민박
경상북도 영천시 화남면 삼창리 373
'장골'에서 6.53km
바로가기
차여사네 민박
'장골'에서 7.35km
바로가기
천문대 별빛정원
경상북도 영천시 화북면 정각리 19
'장골'에서 7.44km
바로가기
별빛 용계 스테이
'장골'에서 7.79km
바로가기
행복을나누는집
경상북도 영천시 자양면 보현리 1848
'장골'에서 8.23km
바로가기
카페인 민박
경상북도 영천시 임고면 양항리 519
'장골'에서 8.28km
바로가기
숲에 머물다
'장골'에서 8.75km
바로가기
㈜오리장림관광농원자동차야영장
'장골'에서 3.9km
바로가기
영천시공예촌캠핑체험장
경상북도 영천시 자양면 포은로 1625-11
'장골'에서 5.92km
바로가기
별밤글램핑
경상북도 영천시 임고면 포은로 814
'장골'에서 6.15km
바로가기
주노글램핑
'장골'에서 6.31km
바로가기
천문대 별빛정원
경상북도 영천시 화북면 정각길 150
'장골'에서 7.47km
바로가기
오각놀이공원
경상북도 영천시 화남면 용구길 21
'장골'에서 8.15km
바로가기
글램코티지
'장골'에서 11.02km
바로가기
삼밭골글램핑
경상북도 영천시 삼밭골길 107
'장골'에서 11.62km
바로가기
㈜자연에너지 드림랜드 오토캠핑장
경상북도 영천시 고경면 고도길 38
'장골'에서 12.78km
바로가기
군위댐야영장
경상북도 군위군 고로면 화북3길 38-10
'장골'에서 15.18km
바로가기
스타글램핑
경상북도 영천시 청통면 구정길 53-77
'장골'에서 17.07km
바로가기
은해로운 캠핑장
경상북도 영천시 청통면 대동로 423(체험학습관)
'장골'에서 17.92km
바로가기
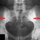
순천타투, 커플 장골 레터링 타투 작업 후기 오늘은 오랜만에 커플 장골 레터링 타투를 작업했습니다. 많은 분들이 흔히 ‘치골’이라고 부르지만, 실제로는 그보다 조금 위쪽에 있는 장골 부위라는 거 알고 계셨나요? 순천타투에서 상담할 때도 자주 알려드리는 부분인데, 이 위치가 가장 은근하게, 또 가장 자연...
순천타투 혜윰타투아카데미(2025-12-08 10:17:00)
했다. 즉, 걸을 때마다 관절이 서로 부딪히는 구조가 되어버린 것...“젊은 나이에 관절염이 온 거고, 최선은 발목 교정술”이라고 하셨다. ⚙️ 발목 교정술과 장골이식이란? 나름 내가 이해한 바로는, 발목의 일부를 절골(뼈를 망치로 탕탕 쳐서 금을 내고) 그 위에 금속 나사못이나 판을 고정해서 각도를 교정하는 수술...
감성터지는 왁자지껄 일상(2025-10-26 21:41:00)
자월도 여행하다가 가볍게 백반 먹으려고 들른 장골식당! 원래는 회를 먹으려고 했는데 버스 기사님이 회 별로라고 하셔서⭐️ 바로 백반으로 노선 변경! 생선구이백반이랑 잠깐 고민했는데 지금 생각하니까 안 시킨 게 신의 한 수,,!! 백반 12,000원 기본 반찬 + 계란후라이 + 조기 구이 + 미역국 반찬은 김치...
배빵빵(2025-11-29 17:24:00)
안녕하세요? 오늘은 시부모님을 모시고 몸보신하기 좋은 맛집을 들고 왔습니다 바로 양평에 위치한 오리백숙맛집인 장골가든입니다 이집은 양평토박이인 어머님의 추천으로 알게된 맛집입니다 넓은 주차장이 있어서 주차도 쉽게 할수있고 무엇보다고 아기랑 갈수있는데요(아기의자는 있지만 수유실은 없음) 예약을 하고...
육아그리고봉순이(2026-02-21 20:57:00)
도착한 장골해수욕장🏖 우리와 같은 배를 타고 온 타른 분들도 자리 탐색전에 돌입했다.ㅋ (실은 걸어오면서부터 경쟁의 기운이 돌긴함ㅋㅋ) 1순위는 소나무숲아래지만, 어제 들어오신분들이 다 차지했기에 앞쪽으로 맡아야했다. 저 그늘막 안에는 텐트금지라고 써있어서 다들 그늘막과 그늘막 사이에 치셨고, 우리도 그...
쥰생은 아름다워♡(2025-05-12 15:41:00)
장골해수욕장 인천광역시 옹진군 자월면 자월리 2024.08.31-09.01 인천 자월도 장골해수욕장 백패킹 8월 말 다녀왔던 자월도 장골해수욕장 백패킹에 대한 포스팅입니다. 친한 형이 캠핑은 몇 번 다녀와봤지만 백패킹 경험은 한 번도 없어서 제가 하는 걸 보고 자기도 한번 해보고 싶다 해서 그럼 제가 있는 장비로...
여행가 쉡첸코(2024-11-24 11:27:00)
안녕하세요 오늘은 인천 자월도 감나무집 펜션 다녀온 후기를 올려보도록 하겠습니다 인천 자월도는 인천에서 출발 가능한 섬인데요자월면에 속한 섬으로...주변 바다와 여러 부속 섬을 한눈에 볼 수 있습니다. 인천 자월도 장골해수욕장 저희 가족은 8월 2일 토요일 오후 인천항에서 자월도로 들어가는 배를 타고...
나쵸치즈 라이프 (오늘 더 사랑해♡)(2025-08-07 16:27:00)
한국해운조합 여객선예매 KSA 여객선 예매 도착지명으로 검색 이전으로 돌아가기 SCROLL DOWN island.theksa.co.kr 자월도 백패킹 후기 섬에 도착하자마자 공기가 다르더라고요. 맑고 조용해서 정말 ‘힐링하러 왔다’는 느낌이 팍 들었어요. 지난번에 장골해변에서 백패킹을 했기 때문에 이번에는 큰 마트가 옆에 있는...
ㅣ'm OK(2025-04-16 17:00:00)
안녕하세요! 리코입니다. 오늘은 경기도 양평의 현지인 맛집, 장골가든에서 맛있는 능이오리백숙 먹은 후기를 소개해 드릴게요. 양평 장골가든 경기도 양평 현지인 맛집 능이오리백숙 후기 ⏰️10:00~21:00 (라스트 오더 20:00) 🏠 경기도 양평군 양평읍 중앙로 426 🅿️ 주차 가능 경기도 양평 현지인 맛집 능이오리백숙 후기...
리코의 행복한 여행(2024-07-22 13:02:00)
진심을 담아 좋은 제품만 전달드리겠습니다. vo.la 마무리하며 이 글은 장골 통증과 종아리 통증으로 힘들어하시는 분들을 위해 작성했습니다. 그 고통, 정말...움직임도 부담이 됩니다. 아리진심 종아리 압박밴드는 현재 300개 이상의 후기가 4.8점 이상으로 매우 높게 나오고 있으며, 입소문으로 빠르게 판매되고...
바디진심 공식 블로그(2026-02-20 00:10:00)
등록된 리뷰가 없습니다.
첨부파일