요골 지도 이미지

요골 34명이 열람하였으며, 0개의 리뷰가 있습니다.

시설명
요골
시도명
충청남도
시군구명
천안시
소재지지번주소
충청남도 천안시 서북구 직산읍 군서리 284
총저수량
7
유효저수량
7
수혜면적
7
유역면적
26
준공연도
1,945
관리기관명
충청남도 천안시청
관리기관전화번호
041-521-5494
데이터기준일자
2024-12-24
제공기관코드
4,490,000
제공기관명
충청남도 천안시

블로그 리뷰

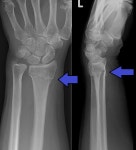
  • 요골 | 손목 요골 골절 수술 후기|ORIF Radius 전신마취 수술시간 당일 실제 기록

    요골 골절수술 부분마취 수면마취 하셨다고들 많이 쓰셔서 기대(?^^) 했는데 저는 전신마취였어요. 저의 수술명은⬇️ ​ Orif radius orif는 수술에 삽입된 부품이고...블로그 두번째😂 ​ #손목요골골절수술 #ORIF #ORIFradius #손목골절수술후기 #전신마취수술 #대학병원수술 #정형외과수술 #입원수술후기 #수술당일후기...

    꽃보다 오늘♡(2025-12-18 17:44:00)

  • 요골 | 홍콩여행가서 요골신경마비 걸린 사람의 후기

    에스컬레이터가 있고 건물 내부가 넓지 않아 접근하기 편했음! ​ ​ 주의. 요골신경마비 검사할 땐 하루 일정을 그냥 비워두는 편이 좋습니다 ​ 10시 10분 내원 후...덕분에 다이아를 찍었습니다 우와 ㅋㅋ 자랑이당! ​ ​ 초음파 검사 후기 초음파 검사해주신 의사 선생님 존함은 기억 안 나지만 정말 친절하시고 꼼꼼하게 잘...

    레츠 자서전(2025-10-12 23:34:00)

  • 요골 | 손목 요골 골절 플레이트 삽입 및 제거 수술 과정, 퇴원, 제거 후기

    ​ ​ 포스팅 사진 중 일부 징그러운 사진 있습니다 ​ ​ ​ ​ 안녕하세요. 우지직입니다. 손목 요골골절 수술 후기, 플레이트 삽입 및 제거 까지 세세하게 남겨보려고 해요. 모두들 저처럼 다치지 말길.... ​ 때는 2024년도 1월... 열심히 스키와 보드를 타기 시작한지 3일차 ? ​ ​ ​ ​ 네 바로 넘어졌어요. ​ 참고로 전 태어나서 인대...

    우먹우먹(2025-12-28 09:00:00)

  • 요골 | [포천손해사정] 교통사고 요골골절 손목골절 포천손해사정사 후기

    입니다. 포천시 가산면에 거주하시면서 교통사고로 인해 포천시 송우리 소재 우리병원에서 치료를 받으신 환자 분이셨습니다. ​ 진단명은 요골 원위부 골절 이었습니다. 요골 원위부란 쉽게 설명 드리자면 손목 부위를 말합니다. 요골 원위부(손목)가 골절 되면 심한 통증과 함께 부종이 발생 하게 됩니다. ​ 치료는 골절...

    손해사정사 이해창님의 블로그(2025-12-19 14:08:00)

  • 요골 | 만촌동 동물병원 강아지 요골·척골 골절 수술 후기 [24시에피소드동물메디컬센터]

    만촌동 동물병원 강아지 요골·척골 골절 수술 후기 [24시에피소드동물메디컬센터] 만촌동 동물병원 ​ 안녕하세요. ​ 풍부한 경험과 따듯한 진료를 바탕으로, 반려동물의 건강하고 행복한 하루하루를 함께 만들어 가는 만촌동 동물병원 24시에피소드동물메디컬센터 입니다. 24시에피소드동물메디컬센터 대구광역시 동구...

    에피소드동물메디컬센터(2025-06-26 12:41:00)

  • 요골 | 손목이 박살나고 비로소 보이는 것들 (부제: 손목 요골 골절 후기)

    자주 들었는데, 그날은 정말 손이 못 생겼다. ​ 3~4시간쯤 지나니 마취가 서서히 풀리기 시작했다. 그때부터 손목이 불타는 느낌이 들었다. 다른 손목 골절 후기들을 보니 밤에 잠을 못 잘 정도로 아프다고 하던데, 그정돈 아니었다. 새벽에 손이 화끈거려서 깨긴 했지만 무통주사 때문인지 엄청 아프진 않았다. ​ 병원...

    ORDINARY SHIN(2025-09-02 11:53:00)

  • 요골 | 요골, 수근골 골절 후기

    통증이 계속 있고 ㄹㅇ 예전 같지 않음 무릎에도 크게 흉터가 생김ㅜ 암튼 건강합시다 조심조심 ​ ​ ​ ​ 드디어 드디어 드디어 3주만에 통깁스 깬 날 ​ 통깁스 후기 간지러우면 답이 없음, 잘 때 불편함 ​ 미리 보고 간 통깁스 제거 영상에서 안전하다고 했지만 무슨 공사장 소리가,, 살 잘릴까봐 좀 무서웠어요ㅋ 그리고 솜...

    규로그(2025-05-30 21:54:00)

  • 요골 | 청주 복대동 동물병원 4개월 초소형 미성숙 강아지 앞다리 골절 (요골) 교정 수술 후기

    골절이 발생 가능하지만 소형견은 점프나 추락 같은 아주 적은 외상에 의해서 요골과 척골의 골절은 흔히 발생합니다. ​ ​ ​ 요척골의 다양한 골절 교정 방법 (AO...가지 방법이 있습니다 ​ 청주 동물병원 외과 대형견 정강뼈 골절 수술 후기 안녕하세요, 24시 청주다옴동물의료센터 외과원장 박상현 수의사 입니다. 이번...

    24시 청주다옴동물의료센터(2025-03-04 17:31:00)

  • 요골 | 손목 골절 수술과 입원 후기 -원위요골, 척골 골절 플레이트 삽입 경험담

    이틀에 한 번씩 병원에 가서 소독을 받았어요. 소독은 수술후 총 2주간 해야한다네요. ​ 깁스에 관한 이야기는 다음에 또 포스팅 할게요 다들 힘내세요!^^ ​ #손목골절 #손목골절수술 #수술후기 #플레이트삽입 #척골핀 #재활운동 #골절치료 #골절입원후기 #손목골절후기 #손목수술 #손목골절입원후기 #요골척골 #손목요골...

    요미야 블로그(2025-03-11 10:43:00)

  • 요골 | 손목골절 통깁스 회복과정 재활후기 - 요골 척골 하단부 분쇄골절 비수술 회복 과정

    척골과 요골 모두의 하단의 골절 🚩 1차 서울웰빙정형외과의원 🚩 2차 카톨릭대학교 인천성모병 📍 원위요골 분쇄골절, 척골 경상돌기 골절 📍 비수술 진행후기 ​ 보드타다 손목짚고 넘어져서 손목 분쇄골절 후 비수술로 회복한 경험담 후기 사건발생 2020년 1월 4일 토요일 오전 ​ 한창 회사 보드동호회 가입해서 보드한번 타...

    도란도란 여행기록ღ(2024-04-07 12:06:00)

일별 방문 통계

월별 방문 통계

날씨

리뷰 (0)

등록된 리뷰가 없습니다.